Let the Games finally begin! Tokyo Olympics opening ceremony kicks off with brilliant display in near-empty stadium after a year of delays due to Covid Opening ceremony of the Covid-delayed … Read More
Omagh bombing could have been prevented, Belfast Judge says, as he calls for UK and Irish Governments to undertake a ‘human rights compliant’ investigation into the 1998 Real IRA attack … Read More
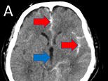
Single Japanese man, 51, almost masturbates himself to death after suffering a stroke moments after he ejaculated Right-handed man in Germany had a life-threatening stroke while masturbating Subarachnoid haemorrhage usually … Read More
U-turn hint over threat of 14-year jail terms for journalists who use leaked Government documents in revamp of Official Secrets Act as No 10 says ‘freedom of the press is … Read More
As the Tokyo Games open, the signatories — including US hammer thrower Gwen Berry as well as 1968 medalists Tommie Smith and John Carlos, who famously raised gloved fists on … Read More
The intelligence community still doesn’t have an official explanation for the perplexing constellation of sensory experiences and physical symptoms that have now sickened hundreds of US diplomats, spies and troops … Read More
The Great Covid getaway: Airports are rammed as lockdown-weary Brits shrug off ‘pingdemic’ to jet off aboard while 2.3m staycationers will hit the road TODAY Met Office predicts up to … Read More
Depop users left baffled by bizarre £13 ‘lateral flow and gold leaf resin ashtrays’ with a POSITIVE Covid test inside (but they’re already a sell-out) London-based account is selling resin … Read More
It’s (finally) here! Hundreds of fans gather in Tokyo as Japan prepares to kick off 2020 Olympics after a year of delays due to Covid Tokyo Olympics will officially begin … Read More